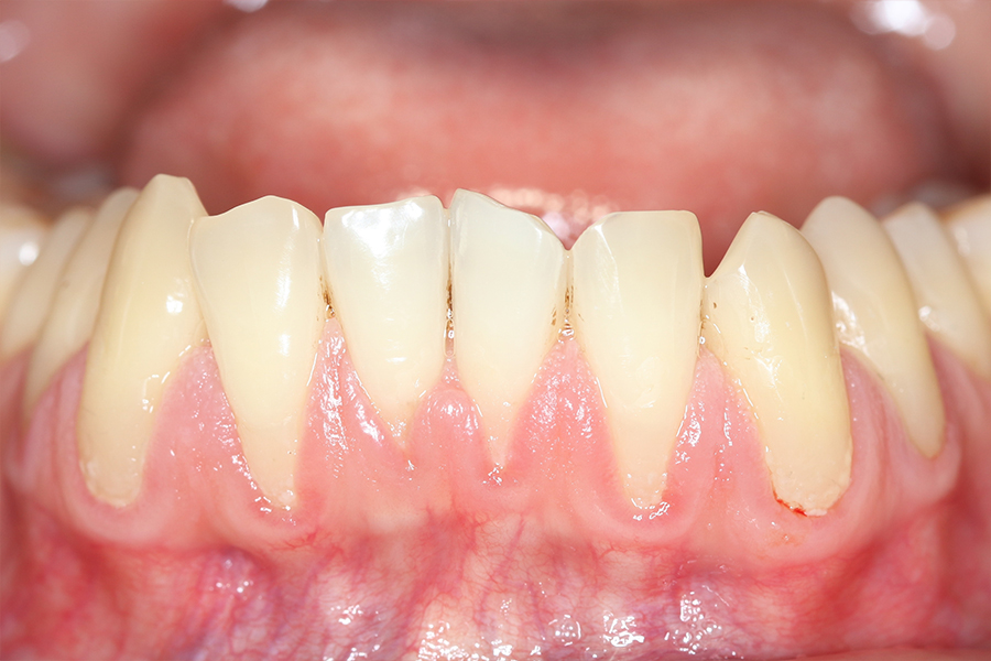
重度歯周病とは
どのような状態?
重度歯周病に関する
よくあるご質問

Q. 重度歯周病とは具体的にどのような状態ですか?
歯を支える骨の吸収が進み、グラグラの状態です。
Q. 重度歯周病になると歯は全て抜けてしまうのでしょうか?
重度になると、噛む力にも耐えられなくなり寿命は短くなりますし、抜けてしまうことがあります。
Q. 重度歯周病の原因にはどんなものがありますか?
磨きの状態や、噛み合わせなど様々な原因から起こります。1番の要因は歯周病細菌です。
Q. 自宅でできる重度歯周病の予防・改善方法はありますか?
まずご自身でのセルフケアができるようにすることからになります。そのために、歯科医院で正しいケアの方法を学んでいただくことが重要です。
Q. 重度歯周病の治療にはどのような方法がありますか?
歯周病治療を進め、歯石を除去します。ダメージが大きい場合には再生療法を含む歯周外科をおこないます。それでも保存困難の場合は抜歯となることもあります。
Q. 重度歯周病治療は保険適用されますか?
内容に制限はありますが、保険治療適用です。
Q. インプラント治療は重度歯周病でも可能ですか?
インプラントは失った歯を補う治療ですので、可能です。しかし、歯周病の改善がないままインプラントをおこなってしまうと、歯周病になってしまうリスクが高まります。
Q. 重度歯周病の治療期間や回数はどれくらいかかりますか?
お口の状況次第ですので、一度ご相談ください。
Q. 治療後も重度歯周病は再発しますか?
再発します。そのため治療した後も再発しないよう、定期的なメンテナンスとチェックはとても重要です。
Q. つくばで重度歯周病の治療が得意な歯科医院はどうやって探せますか?
口コミや、歯周病学会の認定制度を有しているかなどを参考にされると良いと思います。