つくば市で信頼できる歯医者
患者様の
“食べる幸せ”が、
これからも続くように。
- 歯周病
噛み合わせ
認定医在籍 - 精密な検査
丁寧な説明 - つくば市で唯一
ドイツ式入れ歯を
提供
information
噛み合わせを重視した
歯周病治療・インプラント・
ドイツ式入れ歯を行う
茨城県つくば市の歯医者
【つくばさとう歯科】
「噛める」「美しい」「長持ちする」治療で、一人
ひとりのお口の健康を長期的にサポートします。
| 診療時間 | 月 | 火 | 水 | 木 | 金 | 土 | 日 | 祝 |
|---|---|---|---|---|---|---|---|---|
| 9:30~12:30 | ● | ● | ● | ● | ● | ━ | ━ | ━ |
| 13:30〜17:30 | ● | ● | ● | ● | ● | ━ | ━ | ━ |
- 休診日
- 土曜/日曜/祝日
- 診療時間
- 平日:9:30~12:30 / 13:30〜17:30
茨城県つくば市の歯医者なら
「つくばさとう歯科」へ
〒305-0861 茨城県つくば市谷田部6471−1
つくばエリアはもちろん、
土浦・牛久・守谷方面からもお越しいただけます。
■ みどりの駅から車で約10分
■ 研究学園駅から車で約15分
■ 常磐道「谷田部IC」から車で約5分
■ 圏央道「つくば中央IC」から約10分
- 医院専用駐車場8台完備
greeting
院長挨拶
「つくばさとう歯科」院長
佐藤 聡
Satoshi Sato
当院のホームページをご覧いただき、誠にありがとうございます。
父の佐藤歯科医院を継承し、つくば市で地域に根ざした歯科医療を
引き継ぐ形で、新たに「つくばさとう歯科」を開院いたしました。
私たちは、「痛くなったから行く歯科」ではなく、
“痛くならないために通う歯科医院”を目指しています。
特に当院では、噛み合わせ・ドイツ式入れ歯・インプラント・予防歯科に
力を入れ、「なぜ痛くなったのか?」「どうすれば長持ちするのか?」を
徹底的に分析し、
再発を防ぐための精密な検査と診断を行っています。
KaVo社の精密咬合器PROTAR EVO7を用いた咬合診断や、
痛みを最小限に抑える痛くない麻酔など、一人ひとりの不安やご希望に
寄り添いながら、安心して通える診療を心がけています。
これからも地域の皆さまに「信頼できる、そして頼れる歯科医院」として、
一生涯のお口の健康をサポートしてまいります。
得意な診療
- ドイツ式入れ歯
- ダイレクトボンディング
- セラミック
- インプラント
- 噛み合わせ
- 顎関節症治療
経歴
- 茨城県つくば市出身
- 茗溪学園高等学校 卒業
- 明海大学歯学部 卒業
- 慶應義塾大学病院歯科・口腔外科 勤務
- 慶應義塾大学病院 関連病院 勤務
- 医療法人Smile design 東陽町いば歯科 勤務
- 笠間さくら歯科勤務
所属学会/資格
- IPSG包括歯科医療研究会 VIP会員
- 日本歯周病学会 会員
- 日本臨床歯周病学会 会員
- 日本顕微鏡歯科学会 会員
- 日本口腔インプラント学会 会員
- D-CUBE 会員
- IPSG 咬合認定医
参加講習会
- IPSG包括歯科医療研修会 各種コース 受講
- 土屋賢司先生 東京コース受講
- 牧草一人先生 ぺリオ東京コース受講
- 青島徹児先生 ダイレクトボンディング セミナー受講
- 高井基普先生 プロビジョナルレストレーション
セミナー 受講 - 5-D JAPAN ペリオ・インプラント
ファンダメンタルコース 受講 - COKI TOKYO くれなゐ塾 Under15 セミナー 受講
Philosophy
「もう噛めない」と
あきらめていた方へ。
“よく噛める”と
“見た目も自然”を
両立する治療を。
私たちは「見た目の美しさ」だけでなく、
「噛める・食べられる喜び」を大切にしています。
痛みを抑えた丁寧な治療と、長く使えるドイツ式入れ歯・インプラントで、
生活の質を取り戻すサポートを行います。
また、噛み合わせは小さいお子様からご高齢の方まで一生涯大事なものです。
最初から最後まで、私たちがサポートいたします。
FEATURES
当院の特徴について
FEATURE
01
精密な検査と
丁寧なカウンセリング
真摯にお悩み事をカウンセリングし、
必要な検査をおこないます。
なぜ治療が必要なのか、解決するための
お手伝いには
時間を惜しみません。
お互いの信頼を得るために、
『人』を大事にしています。
FEATURE
02
歯周病認定医・衛生士による
丁寧な歯周病治療
当院副院長は日本歯周病学会認定医の資格を所持しており、
院長も慶應義塾大学病院での歯周病の研修に参加しております。
歯科衛生士と協力して丁寧な説明・治療をおこないますので
お悩みの方はお気軽にご相談ください。
FEATURE
03
痛くない麻酔、
表面麻酔+極細針で
痛みを最小限に。
麻酔の痛みは、歯科治療の不安の一つです。
当院では、針を刺す前に表面麻酔をしっかりと効かせ、さらに極細針を使用することで、麻酔時の痛みを最小限に抑えています。
細やかな技術と丁寧な手技で、「痛くない治療」を目指しています。
FEATURE
04
入れ歯・インプラントで
お悩みの方へ
当院では他院ではおこなっていない、
テレスコープと呼ばれるドイツ式入れ歯の治療をおこなっております。日本の入れ歯の欠点を補える、『噛める』治療法です。
入れ歯でうまく噛めない、インプラントではない治療で
しっかり治療したい場合にも対応可能です。気軽にご相談ください。
FEATURE
05
セラミック・
ダイレクトボンディング
1本にこだわった治療
当院は1本の歯の治療でも、ダイレクトボンディングやセラミック治療を適切に行うことで、長く安定させることにこだわっております。
FEATURE
06
お子様からご高齢の方まで、
生涯にわたって通える、
あなたのかかりつけ歯科医院へ
お子様からご高齢の方まで、歯を守るために幅広い治療に対応可能です。
永く通える歯科医院を目指しています。
FEATURE
07
徹底した感染予防対策
お口に入るミラーやピンセット、歯を削るハンドピースなどの治療器具は、世界的高水準のクラスB滅菌器のLisaにて滅菌を行なっております。患者様が安心して治療が受けられる環境づくりを心がけております。
FEATURE
08
拡大鏡・マイクロスコープを
用いた精密治療
歯が悪くなる原因は1つではありませんし、
1人1人生活習慣や歯並びも違うため、リスクが異なります。
精密な検査を元に、原因を考え、あなたに必要な治療を
ご提案いたします。
また、良いお口の状態が長持ちするためにお手伝いいたします。
TREATMENTS
つくばさとう歯科の
診療メニュー
つくば市で幅広い歯科治療に
対応できる歯医者をお探しですか?
急な痛み、取れた腫れたなどの急患対応から、専門的なドイツ式入れ歯「テレスコープ」や
インプラント治療などの外科処置が必要な診療まで、
全ての歯科治療で高い技術力を提供する、茨城県つくば市の歯医者です。
日本で数少ない
【ドイツ式入れ歯】を
提供できる歯科医院
患者様のご要望やご希望の治療法について、
しっかりヒアリングを行い適応可能な治療法についてご提案します。
まずはお気軽に初回カウンセリングにお越しください。
あらゆる歯並びのお悩みに幅広く対応可能
-
入れ歯・インプラントまで幅広く対応
-
初回カウンセリング
⾒た⽬も噛み⼼地も
妥協しない
精密インプラント治療
難症例・他院で断られたケースでも対応可能
安全性・確実性を追求できる万全の体制で治療に臨みます。
セカンドオピニオンにも対応しております。
天然⻭に近い⾷事の快適さを、
再び取り戻すことができます
-
痛みに最大限配慮した治療を実施
-
骨造成で難症例にも対応可能
-
・日本でも有数・つくば市で唯一の対応医院
・高精度なフィット感と咬み心地を実現ドイツ式入れ歯
つくば市で唯一、世界最高水準の「ドイツ式入れ歯」に対応。日本でも限られた医院のみが提供する、精密で自然なフィット感を実現。
-
・短期間で美しい口元を目指せます
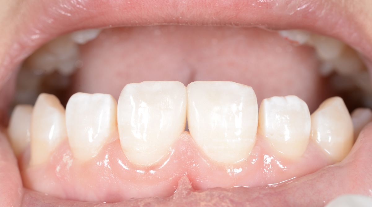
・保険診療では難しい自然な仕上がりを実現ダイレクト
ボンディング保険診療で再現できない自然な美しさと耐久性を追求した「ダイレクトボンディング治療」。短期間・低侵襲で、天然歯に近い見た目と機能性を実現します。
-
・⼝を開ける時、顎が痛い
・関節がカクカクする噛み合わせ/
顎関節症「健康を生涯サポートすること」を重視。
丁寧な検査とわかりやすい説明をいたします。 -
マイクロスコープによる
高精度の治療を行なっています。マイクロスコープ
による精密治療痛みについてご不安をお持ちの方は、
まずはお気軽にご相談ください。
-
虫歯治療歯が痛い・しみる
歯がボロボロ -
根管治療虫歯の再治療が多い
歯の神経を残したい -
歯周病治療歯ぐきが腫れる・
歯がグラグラする -
予防歯科虫歯や歯周病を
予防したい -
小児歯科子どもの歯並び・
口元が気になる -
義歯・入れ歯歯を失った
今の入れ歯が合わない -
インプラントしっかり噛める喜びを
取り戻したい -
審美歯科治療見た目も美しく
長持ちする治療 -
ダイレクト
ボンディングすきっ歯や前歯の形を
短期間で改善したい -
ホワイトニング歯を削らずに白くしたい
歯を美しくしたい -
矯正歯科ガミースマイルを治したい
出っ歯やすきっ歯が気になる -
噛み合わせ・
顎関節症顎が痛い
顎の関節がカクカクする -
口腔外科親知らずの抜歯や
口内炎などお気軽に -
歯牙移植歯を失った場合に
自分の歯で補う治療法
今までに歯科医院で
噛み合わせの検査・説明を
受けたことがありますか?
「なんとなく噛みにくい」「顎が疲れる」「肩こりや頭痛が続く」──
そんな症状の原因が、“噛み合わせのズレ”にあることをご存じでしょうか。
つくばさとう歯科では、ドイツKaVo社の精密咬合器「PROTAR EVO7」を用いて、
顎の動きを立体的に再現する精密な噛み合わせ検査を行っています。
目に見えない“噛み合わせのズレ”をデータで分析し、
入れ歯・被せ物・インプラントの長持ちにもつながる、理想的な咬合バランスを追求しています。
噛み合わせを正しく整えることは、「快適に噛む」だけでなく「全身の健康」にも関わります。
噛み合わせのバランスが悪いと...
-
虫歯ではないのに
歯が痛い、しみる -
食事時にうまく
噛めない、噛みにくい -
歯が割れる、
被せ物が壊れる
などの症状が起きてしまうことがあります。
噛み合わせを
調べるための
当院の診査・診断
咬合治療をするためには、
正確な診査・診断が必要です。
そのために様々な資料採得を⾏います。
ご予約・ご相談はお気軽に!
患者様のご都合にお応えできるように、
診療を⾏っています。
また、便利なネット予約も
24時間受け付けています。
flow
治療の流れ
-
1
お悩み事のカウンセリング
当院は完全予約制です。事前にお電話にて患者様の症状、都合に合わせた時間や日程で予約を取得します。
-
2
必要に応じた精密検査/診断
基本的には当院はお顔、お口、顎関節全ての総合診断を行い、治療計画を立案します。(口腔内写真、X線写真、CT、マイクロスコープを用いた口腔内診査等)患者様に合わせてお口の中や顎関節、お鼻、お顔の検査を行います。
-
3
現在のお口の説明・
最適な治療計画のご提案資料採取したものを、ご理解いただくことを重要視しております。現状をしっかりと理解していただき、その治療法(ゴール設定)をオーダーメイドでご提案さていただきます。その際に治療期間、費用も具体的に提示します。
-
4
歯科治療(歯周病治療を含む)
現状の把握、治療の必要性、治療計画(ゴール)が決定し、患者さん自身が全てをご理解いただいている状態で治療の開始となります。基本は衛生士による口腔衛生管理が完了した後に本格的な治療を開始します。一回の治療時間は治療内容やお口の開けていられる時間等によって決定します。必要に応じて長時間で多くの治療を行う(集中治療)ことをご提案させていただきます。
初診料 約3,000〜3,500円(税込)※1 ※1 処置の内容によって前後いたします。
-
5
メインテナンス・定期検診
基本治療が終了したら、再治療のリスクは可能な限り少ない状況になっていますが、患者さんのリスクに応じてメインテナンスに通っていただきます。これは重大な再治療を未然に防ぐ目的やお口の老化、変化に順次対応する為には必要です。お口のかかりつけ歯科医院として責任を持ってメインテナンスを行います。
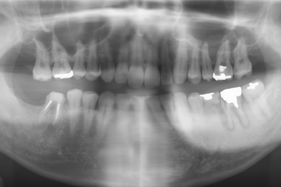
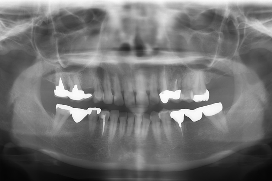
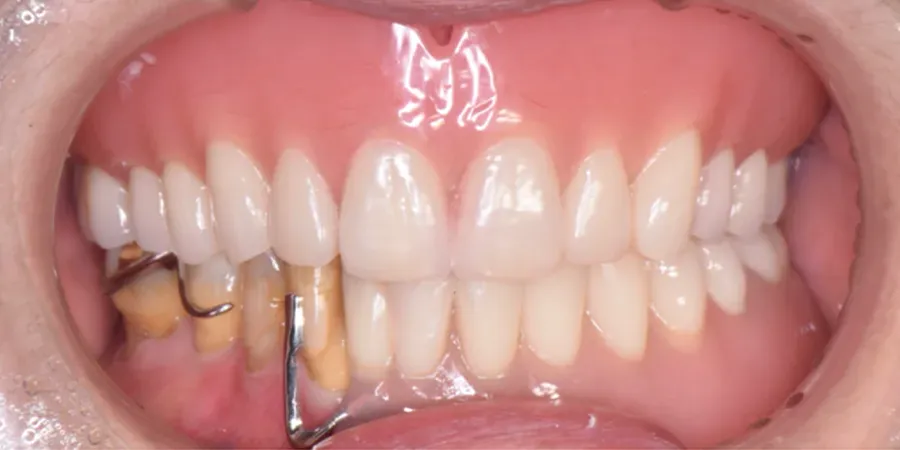
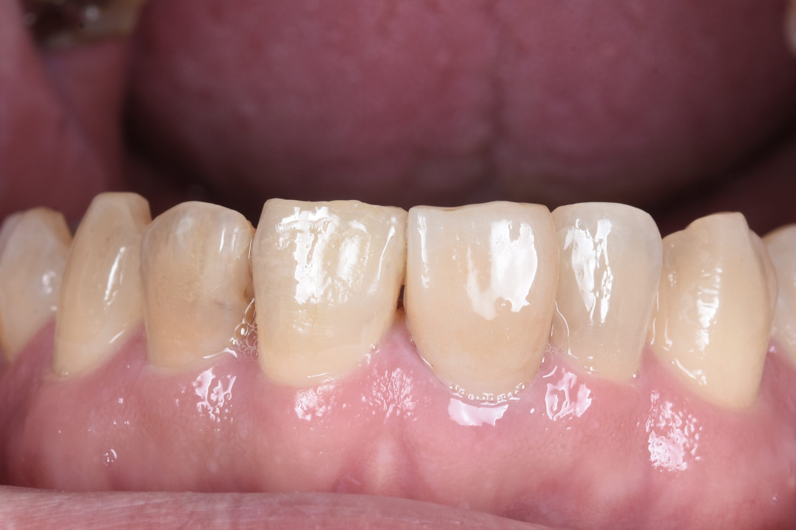
Case
当院のドクターによる
実際の治療症例集
つくば市で幅広い歯科治療に
対応できる歯医者をお探しですか?
急な痛み、取れた腫れたなどの急患対応から、
インプラント治療などの外科処置が必要な診療まで、
全ての歯科治療で高い技術力を提供する、つくば市の歯医者
【つくばさとう歯科】です。
Price
お支払い方法・料金表
お支払い方法
保険診療は現金・クレジットカード、
自費診療は、現金、クレジットカード、デンタルローンでのお支払いが可能です。
お支払い時に受付までお問い合わせください。
ご利用可能なクレジットカード
料金表
※料金はすべて税込の表記となります
初診料
| 初診料 | 約3,000〜3,500円 (税込)※1 |
|---|
※1 処置の内容によって前後いたします。
治療相談
| 自費治療相談 | 無料 |
|---|---|
| CT撮影 | 5,500円 |
| 歯科ドック(お口の中の総合的な検査・各種レントゲン撮影など含みます) | 33,000円 |
クリーニング
| エアフロー | 5,500円 |
|---|---|
| 自費クリーニング (PMTC,エアフロー, フッ素塗布) |
11,000円 |
ホワイトニング
| ホーム ホワイトニング ( トレー、薬剤代込) |
22,000円 |
|---|---|
| オフィス ホワイトニング |
33,000円 |
インプラント
| オステム社 インプラント |
407,000円 |
|---|---|
| ストローマン社 インプラント |
504,000円 |
| 骨造成(GBR) | 55,000~110,000円 |
※診断・埋入・補綴物作製を含みます。
精密根管治療
| 歯髄温存療法(VPT) | 16,500円 |
|---|---|
| ウォーキング ブリーチ |
33,000円 |
入れ歯
| 金属床義歯(片顎) | 385,000~550,000円 |
|---|---|
| ノンクラスプ デンチャー |
165,000~330,000円 |
| コーヌステレ スコープ |
土台にする歯1本 330,000円 フレーム 770,000円〜 |
| リーゲルテレ スコープ |
土台にする歯1本 330,000円 フレーム 770,000円〜 |
| レジリエンツテレ スコープ |
土台にする歯1本 330,000円 フレーム 770,000円〜 |
| シュトラック デンチャー (総入れ歯) |
770,000円〜 |
審美歯科
| ダイレクトボンディング (1歯) |
33,000~44,000円 |
|---|---|
| オールセラミック (インレー ・アンレー) |
55,000~77,000円 |
| ラミネートベニア | 110,000円 |
| オールセラミックス クラウン |
132,000円 |
| ジルコニア クラウン スタンダード |
シェードなし 110,000円 シェードあり 132,000円 プレミアム 165,000円 |
| フルジルコニア クラウン |
154,000円 |
| オーバーレイ セラミック |
スタンダード 88,000円 プレミアム 110,000円 |
| PFZ | スタンダード 165,000円 プレミアム 198,000円 |
| e-max | スタンダード 121,000円 プレミアム 143,000円 |
| ジルコニアセラミックス クラウン |
187,000円 |
| プロビジョナル (精密仮歯) |
3,300~5,500円 |
歯周病治療
| 歯周組織再生療法 (エムドゲイン) |
38,500~110,000円 |
|---|---|
| 歯肉移植 (CTG・FGG) |
88,000円 |
その他
| 歯牙移植 | 55,000〜110,000円 |
|---|---|
| エクスト ルージョン |
33,000〜55,000円 |
blog
医院ブログ
歯科医療に関する情報を、院長が定期的に更新しています。
皆さまのお口の健康づくりにお役立ていただければ幸いです。
Q&A
よくある質問
- 担当医制ですか?
-
つくばさとう歯科 院長 佐藤 聡
原則、担当医・担当歯科衛生士制となっておりますので、
安心して続けて治療が受けられるように心がけております。
- 治療相談は無料ですか?
-
つくばさとう歯科 院長 佐藤 聡
webや公式LINEにて相談を無料で承っております。
- セカンドオピニオンは可能ですか?
-
つくばさとう歯科 院長 佐藤 聡
はい。他院の治療のセカンドオピニオンが可能です。お悩み事がありましたらお気軽にご相談ください。
- 保険治療も可能ですか?
-
つくばさとう歯科 院長 佐藤 聡
はい。保険治療も行っております。
ご予約・ご相談はお気軽に!
患者様のご都合にお応えできるように、
診療を⾏っています。
また、便利なネット予約も
24時間受け付けています。
































